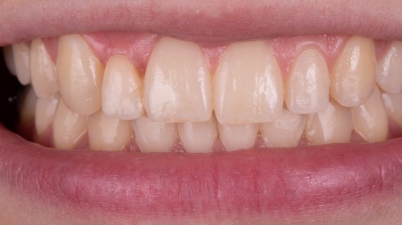
Elegantní řešení chybějící dvojky - foto před
Před
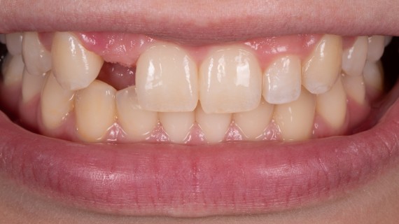
Elegantní řešení chybějící dvojky - foto po
Po

Elegantní řešení chybějící dvojky

Hlavní lékař:

MUDr. Filip Georges

Zubní technik:

Tomáš Forejtek

Slečnu Kláru trápil chybějící pravý horní malý řezák. Tato ztráta zubu ovlivnila estetiku jejího úsměvu a mohla mít v budoucnu i funkční dopad na chrup.

Při plánování léčby jsme zvažovali dvě možnosti


  1. Implantace: Zavedení nitrokostního implantátu a následné zhotovení korunky. Toto řešení je časově náročnější.
  2. Adhezivní keramický můstek: Náhrada chybějícího zubu pomocí můstku, který se lepí na zadní stranu sousedního zubu. Toto řešení je rychlé, elegantní a bezbolestné.


Volba řešení

Vzhledem k mladému věku pacientky jsme se rozhodli pro adhezivní keramický můstek. Implantace by v tomto případě nebyla ideální, protože růst čelistní kosti ještě není ukončen. Adhezivní můstek je dlouhodobé a esteticky vyhovující řešení, které nevyžaduje zásah do kosti.

Pacientka odcházela z naší kliniky s krásným a kompletním úsměvem. Adhezivní keramický můstek se stal elegantním a rychlým řešením jejího problému. Toto řešení je dlouhodobé a pro mladé pacienty velmi vhodné.