Lékařům nabízíme spolupráci u komplikovanějších případů endodontických a implantologických.
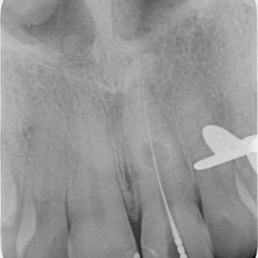
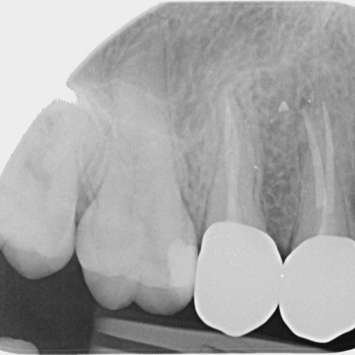
K reeendodontickému ošetření používáme operační mikroskop.
RCRT - Reendodontické ošetření
Nabízíme sekundární ošetření kořenových kanálků. Odstranění ponechaných kořenových nástrojů, odstranění kořenových inlayí.
Implantace
Zavádíme implantáty Straumann, Inno, Dio, Megagen. Provádíme potřebné augmentace kosti, sinus lift. Další protetické ošetření může provest ošetřující lékař.
Ceník rádi zašleme na Váš email. Pokud budete mít zájem o osobní schůzku, neváhejte nás kontaktovat.
U nás v Diente máte možnost spolupráce v péči o vaše pacienty.
Pomůžeme vám s dentální hygienou, stomatologií, endodoncií, re-edodoncií, paradontologií a chirurgií.
Náš tým odborníků je vám k dispozici.