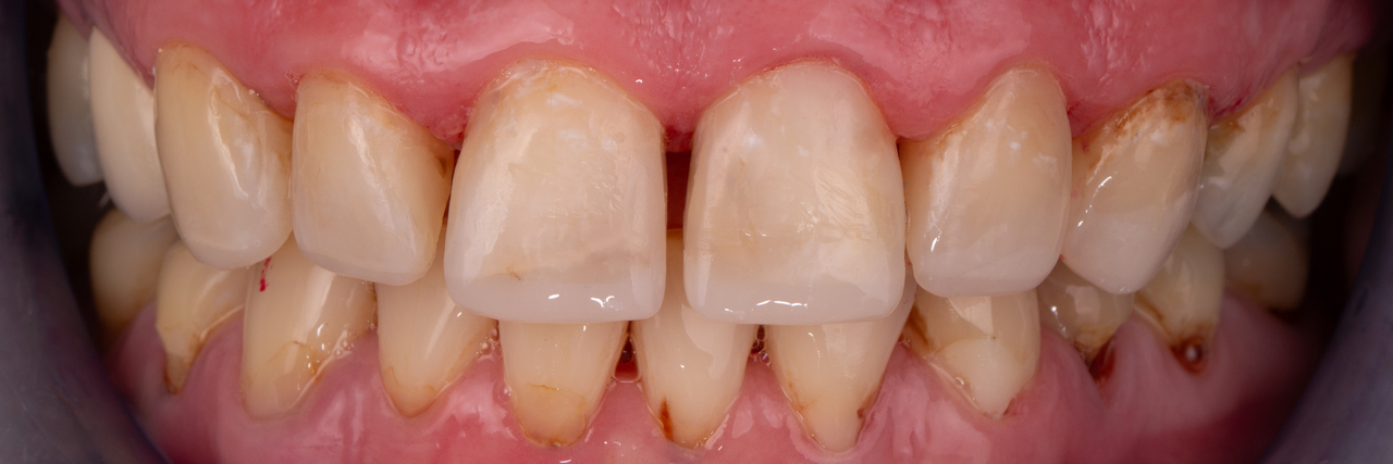
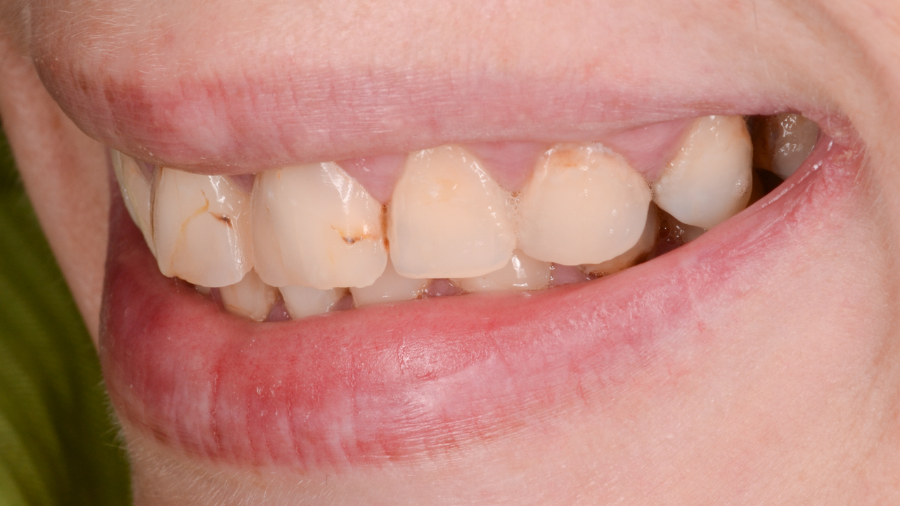
Nevyhovující fotokompozitní výplně - foto před
Před
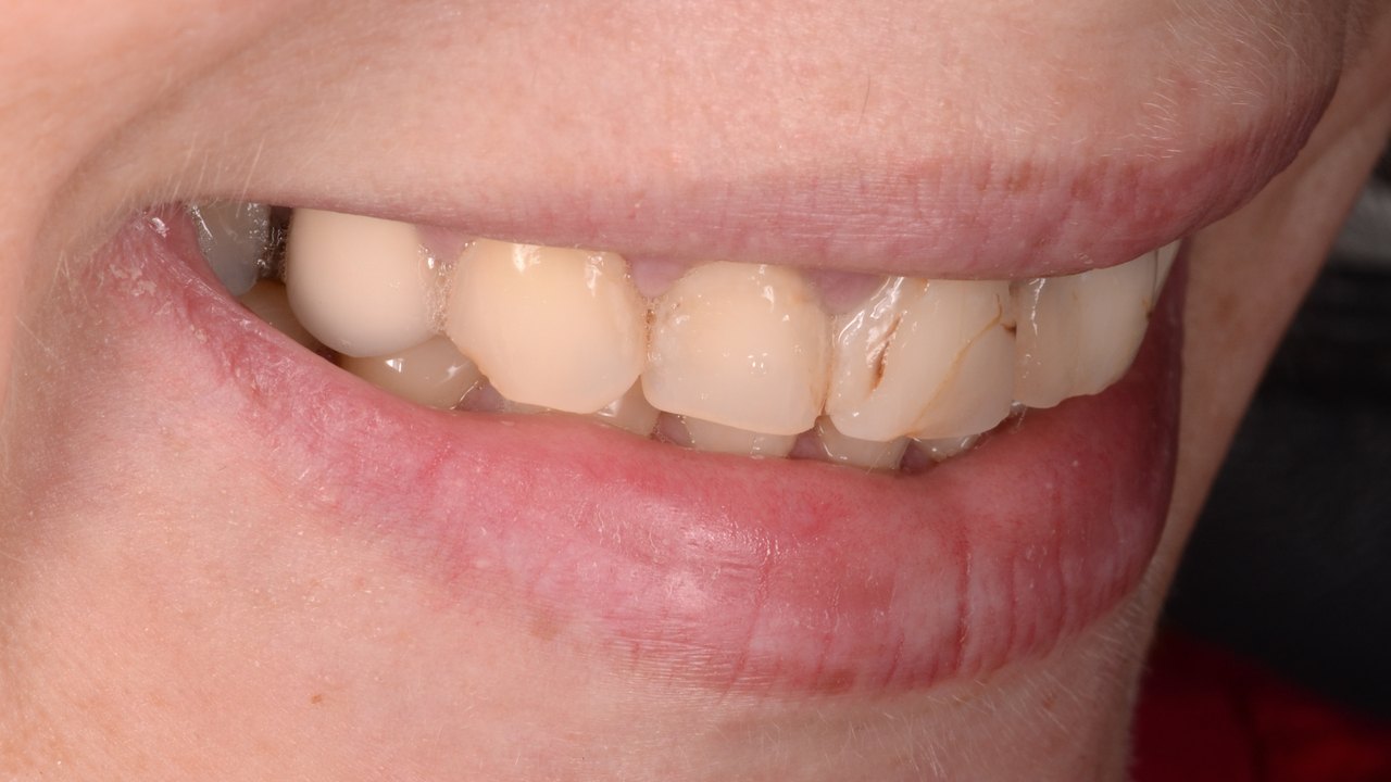
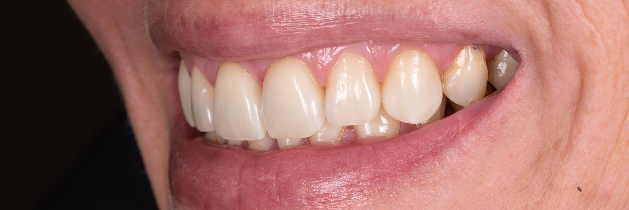
Nevyhovující fotokompozitní výplně - foto po
Po

Nevyhovující fotokompozitní výplně

Léčebné procedury: 

Živcovo-keramické fazety

Hlavní lékař:

MUDr. Filip Georges

Zubní technik:

Tomáš Forejtek

Paní Alena za námi přišla v roce 2018 s nevyhovujícími fotokompozitními výplněmi. Díky její profesi herečky nebyla spokojená se svým úsměvem a chtěla nápravu.

Nejprve jsme sejmuli fotokompozitní výplně a zjistili jsme, že zuby jsou užší a vznikla neestetická mezera mezi horními jedničkami.

Následně po doporučení proběhla ortodontická léčba pod vedením paní doktorky Gabriely Krejčí v Gala ortodoncie. Po ukončení léčby v roce 2020 byly nasazeny plně individualizované živcovo-keramické fazety na předních 6 zubů.

Výsledek vidíte na fotografiích z letošního roku.

Práce pana doktora Filipa Georgese a zubní laboratoře Forejtek dental lab.