O případové studii - Keramické korunky a ošetření s pomocí DSD

Před
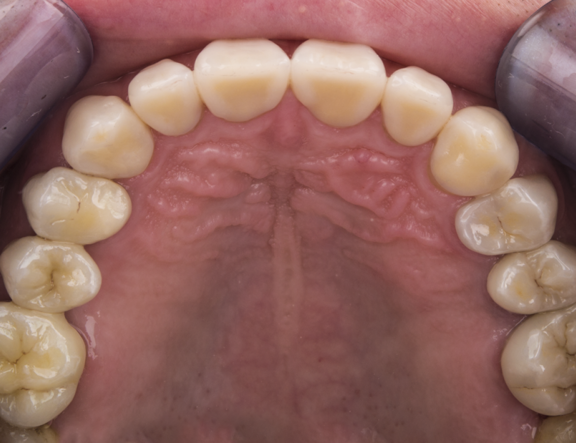
Po

Pan Petr má poškozené zuby působením kyselin, nočním zatínáním a skřípáním zubů. Kyseliny se do úst dostanou například z tekutin (CocaCola, džusy…) nebo při gastroesofagiálním refluxu. Jde o vracení žaludečních kyselin přes jícen do dutiny ústní, kde kyselina společně se skřípáním zubu nejdříve zničí sklovinu a dále i dentin zubů. Jediná možná náprava, je obnovení zubů, každý zub se musí znovu dostavět. V tomto případě jsme volili kombinaci keramických korunek a můstku. Společně s protetickou léčbou dentice, je zapotřebí eliminovat působení kyselin a pokusit se omezit skřípání zubů, k tomu pomohou noční a sportovní dlahy k ochraně zubů.

Léčebné procedury

  • DSD - Digital Smile Design
  • Keramické korunky a keramický mustek

Lekáři

  • Hlavní lékař: Filip Georges 
  • Zubní technik:Kristyna Kahounová, Tomáš Forejtek