O případové studii - Ošetření předních zubů a nasazení korunky

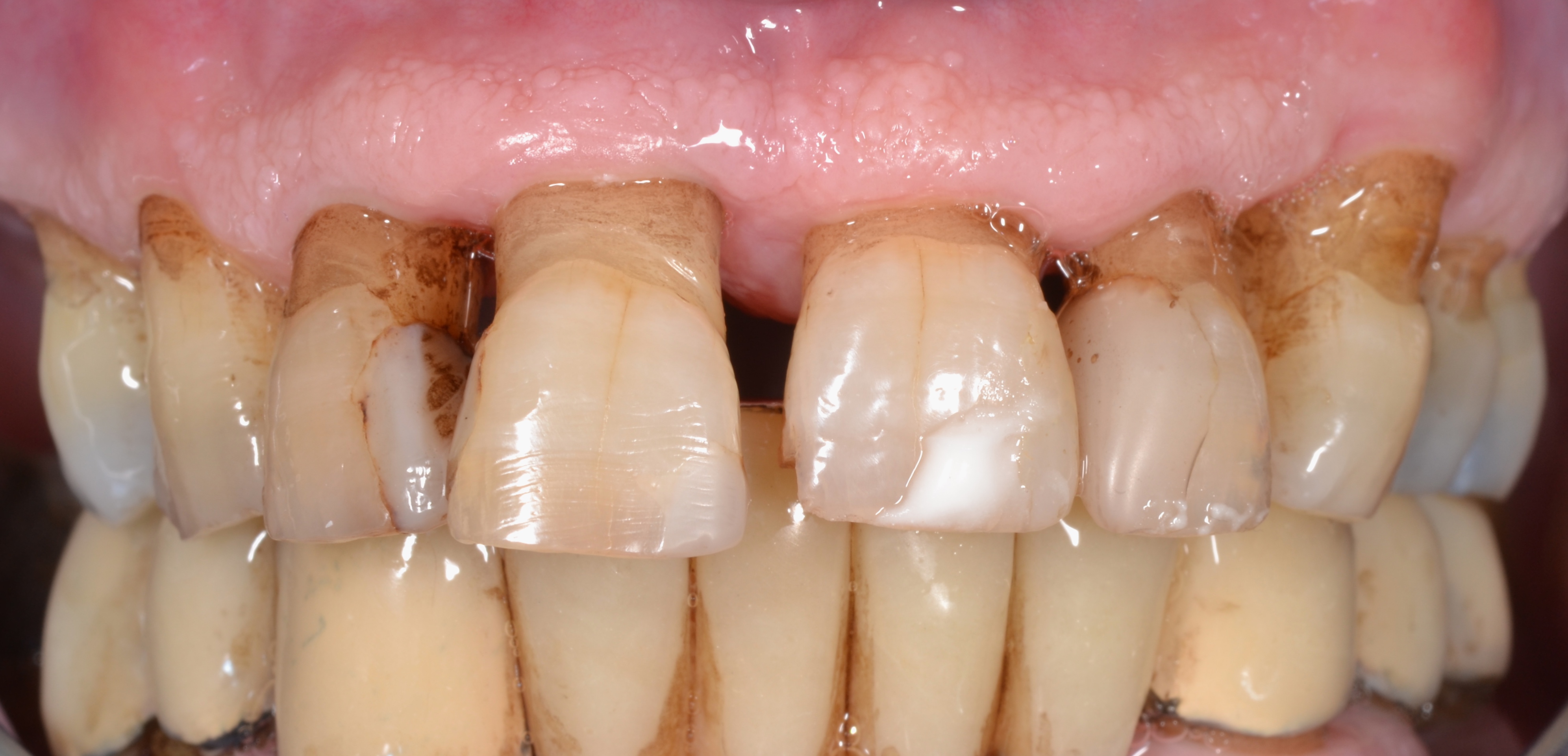
Před
Po

Nejen kaz, ale i chronické onemocnění dásní (paradentóza) Vás může připravit o jeden nebo více zubů. Pana Vaška dlouhodobě trápila vysoká krvácivost dásní a vyšší viklavost zubů, zejména jedničky vpravo nahoře. Při vstupním vyšetření jsme zjistili paradentózní změny II. - III. stupně. Po instruktáži zubní hygieny následovala léčba paradentózy. Proběhl deep scaling (hloubkové odstranění zubního kamene z povrchu kořene zubů) horní i dolní čelisti společně s full mouth desinfection (celková desinfekce dutiny ústní pomocí antibiotik a výplachu úst).Veškerou léčbu měla na starosti hygienistka Petra Čekalová. Po léčbě paradentózy jsme museli vytrhnout jedničku vpravo nahoře pro výraznou ztrátu kosti. Po zhojení defektu zavedl Dr. Tomáš Křiva do vzniklého místa implantát. Za další tři měsíce jsme zhotovili s technikem Tomášem Forejtkem keramickou korunku. Protetickou fázi měl na starosti Dr. Filip Georges. 

Léčebné procedury

  • Paradentologie
  • Implantologie

Lekáři

  • Hlavní lékař: Filip Georges 
  • Chirurg: Tomáš Křiva 
  • Zubní technik: Tomáš Forejtek