O případové studii - Symetrické a bílé jedničky

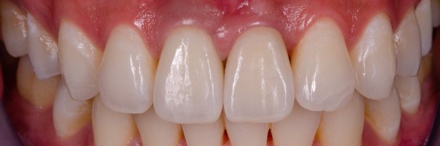
Před
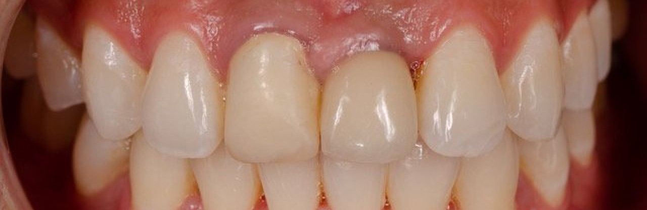
Po

Pan Bruce.

Bruceovo přání: Chci symetrické a bílé jedničky.
Původní stav: Levá jednička je keramická korunka nesena zubním implantátem. Ten je bohužel zaveden málo hluboko v kosti, proto je korunka krátká.
Cíl: Prodloužit korunku v místě levé jedničky a naopak zkrátit keramickou korunku na pravé jedničce.

Po sejmutí keramických korunek jsme provedli plastickou operaci dásní, tak abychom mohli korigovat délky konečných keramických korunek. Za 3 měsíce po zhojení dásní, jsme společně se zubním technikem vyrobili 2 nové, vysoce individualizované zirkon keramické korunky, které jsou v úsměvu nerozpoznatelné od vlastních zubů.

Léčebné procedury

  • Mukogingivální chirurgie
  • Implantologie
  • Keramické korunky

Lekáři

  • Hlavní lékař - MUDr. Filip Georges
  • Zubní technik - Tomáš Forejtek